Infective Endocarditis Clinical Features Diagnosis and Management Guide

Author: Medical Editorial Team – Board-certified physicians with 10+ years in emergency medicine. Learn more.

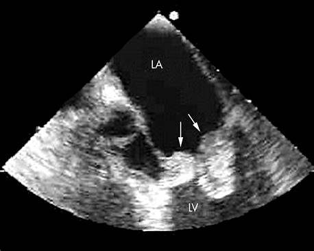
Illustration of Infective Endocarditis Clinical Features Diagnosis and Management Guide symptoms

Medical Disclaimer: This is educational content only, not medical advice. Consult a licensed healthcare provider for diagnosis/treatment. Information based on sources like WHO/CDC guidelines (last reviewed: 2026-02-13).

About the Author: Dr. Dinesh, MBBS, is a qualified medical doctor with over [2 years – add your experience] of experience in general medicine As the owner and lead content creator of LearnWithTest.pro, Dr. Dinesh ensures all articles are based on evidence-based guidelines from sources like WHO, CDC, and peer-reviewed journals. This content is for educational purposes only and not a substitute for professional medical advice.

Contact Details: For inquiries or collaborations, reach out at:

All content is reviewed for accuracy and updated regularly (last review: January 10, 2026). We prioritize trustworthiness by citing reliable sources and adhering to medical ethics.

Frequently Asked Questions

What is infective endocarditis?

Infective endocarditis is a microbial infection of the endocardial surface of the heart, most commonly involving the heart valves, characterized by vegetation formation, systemic embolization, and immune-mediated complications.

Which organisms most commonly cause infective endocarditis?

The most common organisms are Staphylococcus aureus, viridans streptococci, Enterococci, coagulase-negative staphylococci (especially in prosthetic valves), and HACEK organisms.

What are the major risk factors for infective endocarditis?

Major risk factors include prosthetic heart valves, previous infective endocarditis, congenital heart disease, rheumatic or degenerative valve disease, intravenous drug use, indwelling catheters, and immunosuppression.

What are the classic clinical features of infective endocarditis?

Common features include fever, new or changing heart murmur, embolic phenomena, vascular signs such as Janeway lesions, immunologic signs such as Osler nodes and glomerulonephritis, and systemic manifestations like weight loss and fatigue.

What are Janeway lesions and Osler nodes?

Janeway lesions are painless erythematous lesions on palms and soles caused by septic emboli, while Osler nodes are painful nodules on fingers or toes due to immune complex deposition.

What investigations are essential for diagnosing infective endocarditis?

Essential investigations include multiple blood cultures before antibiotics, echocardiography (TTE followed by TEE if needed), inflammatory markers, urine analysis, and imaging for embolic complications.

Why is transesophageal echocardiography preferred in many cases?

TEE has higher sensitivity than transthoracic echocardiography, especially for detecting vegetations on prosthetic valves, periannular abscesses, and small lesions.

What are the Duke criteria used for?

The modified Duke criteria are used to establish the diagnosis of infective endocarditis based on a combination of clinical, microbiological, and echocardiographic findings.

What is culture-negative infective endocarditis?

Culture-negative infective endocarditis refers to cases where blood cultures are negative, commonly due to prior antibiotic use or infection with fastidious organisms such as Coxiella burnetii or Bartonella species.

How long is antibiotic therapy usually required?

Intravenous antibiotic therapy is typically required for 4 to 6 weeks for native valve endocarditis and at least 6 weeks for prosthetic valve endocarditis.

Why is combination antibiotic therapy used in some cases?

Combination therapy is used to achieve bactericidal synergy, particularly in enterococcal endocarditis and prosthetic valve infections.

What are the indications for surgical management in infective endocarditis?

Indications include acute heart failure due to valve dysfunction, uncontrolled infection, periannular abscess, recurrent embolization, large vegetations, and prosthetic valve dehiscence.

What are the most common complications of infective endocarditis?

Complications include heart failure, stroke, systemic embolization, renal failure, conduction abnormalities, mycotic aneurysms, and death.

Why are intravenous drug users prone to right-sided infective endocarditis?

Injection of contaminated material introduces bacteria directly into the venous circulation, commonly infecting the tricuspid valve.

What is the role of antibiotic prophylaxis in infective endocarditis?

Antibiotic prophylaxis is recommended only for high-risk patients undergoing certain dental procedures to prevent bacteremia-induced endocarditis.

MCQ Test - Infective Endocarditis Clinical Features Diagnosis and Management Guide

Progress:
0/20
Time: 00:00

1 A 29-year-old IV drug user presents with fever, cough, pleuritic chest pain, and hemoptysis. Blood cultures grow Staphylococcus aureus. Echocardiography shows vegetations on the tricuspid valve. What is the most likely complication?

Explanation:

Right-sided infective endocarditis commonly leads to septic pulmonary emboli causing pleuritic pain and hemoptysis.

2 A patient with infective endocarditis develops new-onset complete heart block. What does this most strongly suggest?

Explanation:

Conduction abnormalities indicate extension of infection into the periannular region causing abscess formation.

3 A 62-year-old man with a prosthetic aortic valve has persistent fever despite appropriate antibiotics. TEE reveals a rocking prosthetic valve.

Explanation:

Rocking motion of a prosthetic valve is characteristic of valve dehiscence, an indication for urgent surgery.

4 A patient with infective endocarditis develops acute severe mitral regurgitation and pulmonary edema.

Explanation:

Valve destruction or chordal rupture is a known complication of infective endocarditis causing acute MR.

5 A patient with fever and a history of dental extraction develops infective endocarditis. Blood cultures grow alpha-hemolytic streptococci.

Explanation:

Viridans streptococci are common after dental procedures and cause subacute endocarditis.

6 A patient with infective endocarditis presents with hematuria, red cell casts, and low complement levels.

Explanation:

Immune complex deposition causes glomerulonephritis in infective endocarditis.

7 Which finding best differentiates Janeway lesions from Osler nodes?

Explanation:

Janeway lesions are painless, while Osler nodes are painful due to immune-mediated inflammation.

8 A patient fulfills one major and three minor Duke criteria.

Explanation:

One major plus three minor Duke criteria establish a diagnosis of definite infective endocarditis.

9 A patient with infective endocarditis develops sudden flank pain and hematuria.

Explanation:

Septic emboli can lodge in renal arteries causing infarction.

10 Blood cultures are repeatedly negative in a patient with suspected infective endocarditis. Serology shows high titers against Coxiella burnetii.

Explanation:

Coxiella burnetii is a classic cause of culture-negative infective endocarditis.

11 Which is the strongest indication for early surgery in infective endocarditis?

Explanation:

Heart failure caused by valvular destruction is the strongest indication for urgent surgery.

12 A patient with prosthetic valve endocarditis requires rifampicin therapy. What is its main role?

Explanation:

Rifampicin is effective against bacteria within biofilms on prosthetic material.

13 Which organism is most commonly associated with acute, aggressive infective endocarditis?

Explanation:

Staphylococcus aureus causes acute, rapidly destructive infective endocarditis.

14 A patient with infective endocarditis develops painful nodules on fingertips.

Explanation:

Osler nodes are painful immunologic lesions seen in infective endocarditis.

15 Which valve is most commonly involved in IV drug users?

Explanation:

IV drug use commonly causes right-sided endocarditis involving the tricuspid valve.

16 What is the recommended duration of therapy for prosthetic valve infective endocarditis?

Explanation:

Prosthetic valve endocarditis requires at least 6 weeks of intravenous antibiotics.

17 A patient with infective endocarditis develops splinter hemorrhages.

Explanation:

Splinter hemorrhages result from vascular damage and microembolization.

18 What is the most common cause of death in infective endocarditis?

Explanation:

Heart failure due to valvular destruction is the leading cause of mortality.

19 Which patient requires antibiotic prophylaxis before dental procedures?

Explanation:

Patients with a history of infective endocarditis are at high risk and require prophylaxis.

20 Which echocardiographic modality is most sensitive for detecting periannular abscess?

Explanation:

TEE is the most sensitive modality for detecting abscesses and prosthetic valve involvement.

Test Results

0%
0/20
0
Correct Answers
0
Wrong Answers
00:00
Time Taken
0
Skipped
View Exam Mode MCQs (1767595466-index-2026-01-05T120911.118.html)

Related Articles

Comments